background

產品總覽

ZEISS Axiolab 5 蔡司中低階正立顯微鏡

利用智慧顯微鏡優化臨床與生物醫學實驗室效率
ZEISS Axiolab 5 蔡司中低階正立顯微鏡

Axiolab 5 能夠滿足您臨床和生物醫學實驗室的嚴苛需求,完美融合了符​​合人體工學的設計和卓越的速度。 Axiolab 5 搭配 Axiocam 212 彩色顯微鏡相機,為您帶來全新的數位化文件記錄方式。只需對焦樣本,按下按鈕,即可獲得清晰逼真的彩色影像。智慧顯微鏡功能隨即啟動。

  • 只需按一下按鈕即可獲得數位影像,其效果與您透過目鏡看到的景象完全一致。
  • 系統會自動新增正確的縮放資訊。
  • 符合人體工學的舒適工作環境。

提升效率

利用智慧顯微鏡

取得細節豐富、色彩真實的影像可能需要花費大量時間。您肯定知道具體步驟:放置樣品,對焦感興趣區域,切換到電腦,調整白平衡、曝光時間和增益等設置,然後採集圖像,插入比例尺,切換回顯微鏡……如此反复。

這就是典型的文件檔案記錄流程。現在,借助 Axiolab 5 系統,您可以始終專注於您的樣本,這要歸功於其智慧顯微鏡技術。數位化文件記錄功能已融入系統設計之中。只需按下顯微鏡上符合人體工學的 Snap 按鈕,即可完成記錄。此流程與您現有的顯微鏡工作流程完美集成,並大大提高了您的工作效率。

三種配置選擇

使用 Axiolab 5,您可以輕鬆應對現在和未來。選擇最適合您實驗室工作流程的配置:

 

 

 

 

蔡司 Axiolab 5 工作現場
相關應用

蔡司的臨床顯微鏡→
為臨床實驗室打造的認證顯微鏡

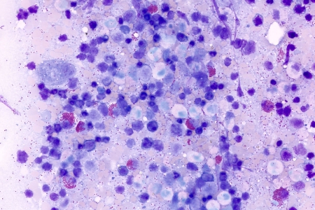
細胞學與細胞病理學的顯微鏡解決方案→
在細胞層級偵測疾病

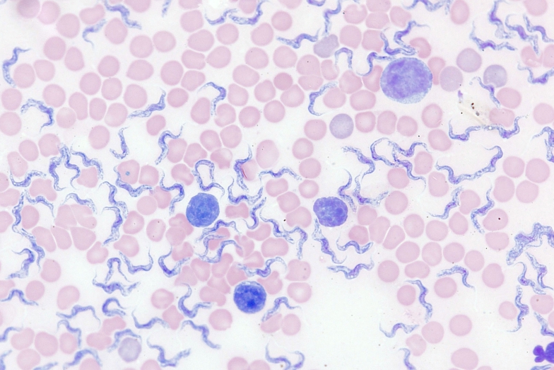
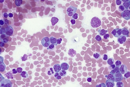
血液學顯微鏡解決方案→
血液的科學或研究

微生物學顯微鏡解決方案→
臨床例行

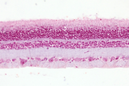
組織學與組織病理學的顯微鏡解決方案→
透過顯微鏡檢查組織形態來研究疾病的表現

分析顯微鏡解決方案→
實驗室例行作業

檔案下載

ZEISS Axiolab 5
Your Smart Microscope for More Efficient Routine Lab Work

 

ZEISS Axiolab 5 - Flyer →
Your Smart Microscope for More Efficient Routine Lab Work

ZEISS Microscope for Cytopathology→
Detect Diseases on the Cellular Level

ZEISS Microscopes for Hematology→
Study Blood and Blood Diseases

ZEISS Microscopes for Histology→
Examine Tissue Morphologies

Your microscopes for your biomedical laboratory→
Your microscopes for increased efficiency in the lab.