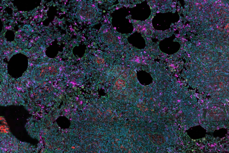
Axiocam 820 單色 2000 萬像素相機配備了一塊 17.5 毫米對角線的大型背照式 CMOS 感測器,其峰值量子效率高達 86%。這款相機以其低讀取噪聲,是成像活體或固定樣本中微弱螢光訊號的理想選擇。其方形感測器能夠有效利用顯微鏡的視場,捕捉更多細節。雙 USB 3.0 介面確保了極高的資料擷取速度,同時又不犧牲標準介面的穩定性。 Axiocam 820 單色相機的高性能和無與倫比的靈活性使其成為生命科學研究中最具挑戰性樣本的理想之選。
- 生命科學領域中最具挑戰性的螢光應用
- 以良好的訊號雜訊比對微弱螢光訊號進行成像
- 快速磁磚掃描應用程式
- 活細胞成像中的動態事件
- 靈活的配置,適用於各種應用

- 2000萬像素後置超薄方形CMOS感測器,對角線尺寸為17.5毫米
- 每秒 28 張全解析度影像
- 在即時影像模式下每秒 30 張
- 採用2.74微米的小像素,在所有放大倍率下分辨最細微的細節。
- 採用背光式感測器架構,量子效率高達 86%。
- 採用高品質噪音抑制技術,在低光成像條件下可實現 1.3 e- 的低讀出噪音
- 寬靈敏度範圍,從 350 nm 到 1000 nm
- 採用全域快門架構實現快速讀取,從而獲得無畸變影像。
- 由於感測器的主動熱穩定作用,影像品質可重複性高。
- 穩定、快速且易於使用的雙 USB 3.0 連接
- 硬體觸發
量子效率