background

產品總覽

ZEISS Axiocam 712 color 蔡司高階彩色顯微鏡相機

您的全能 1200 萬像素顯微鏡相機
ZEISS Axiocam 712 color 蔡司高階彩色顯微鏡相機

這款1200萬像素的科學級相機集大尺寸影像感測器、小像素尺寸、精準的色彩還原和快速成像速度於一身。 CMOS感測器每秒可拍攝超過20張,並擁有17.5毫米對角線的大視野。現在,您可以快速取得大面積樣本區域的影像,且影像品質毫不妥協。大視野減少了對最大樣本成像所需的拼接數量,從而顯著加快了拼接實驗的速度。

Axiocam 712 彩色數位相機是一款高度先進的數位相機,可滿足科學顯微鏡的各種需求,包括文件記錄、報告撰寫和數據分析。快速、無偽影的成像以及優化的色彩還原,讓您的工作更加舒適高效。此外,您還可以直接在螢幕上觀察樣本,而無需通過目鏡,這成為一種真正便捷的選擇。

蔡司 Axiocam 712 彩色相機推薦

  • 高解析度顯微鏡
  • 大區域成像
  • 醫學影像
  • 材料科學研究
  • 宏觀成像
  • 病理

圖註:小鼠胚胎口部切片,物鏡:Plan-APOCHROMAT 63x11.4 油鏡

Axiocam 712 彩色相機亮點

  • 1200萬像素冷卻式彩色CMOS感測器
  • 採用17.5毫米對角線的大尺寸感測器,可實現更廣闊的視野。
  • 一流的色彩還原度
  • 彩色和單色成像模式
  • 每秒 20 張,全解析度 1,200 萬像素
  • 在即時影像模式下,整個視野每秒可拍攝 30 張
  • 獨特的低光成像雜訊抑制技術
  • 高動態範圍 (HDR) 模式下的動態範圍為 1:25,000

相對光譜靈敏度

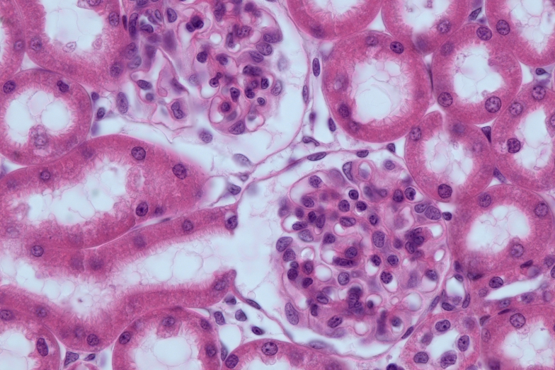
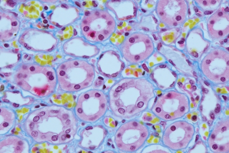
應用範例
檔案下載

蔡司 Axiocam 712彩色→
您的全方位1200萬像素顯微鏡相機,可以高解析度對大面積標本進行真實色彩擷取。

蔡司 Axiocam 系列→
蔡司顯微鏡相機技術指南