background

產品總覽

ZEISS Axiocam 705 color 蔡司高階彩色顯微鏡相機

您的快速 500 萬像素顯微鏡相機
ZEISS Axiocam 705 color 蔡司高階彩色顯微鏡相機

這款靈活的 500 萬像素科學彩色相機完美平衡了速度和解析度。它能以 500 萬像素全解析度拍攝超過 60 張/秒的影像,即使是最動態的過程也能清晰捕捉,而不會失去影像解析度。透過子取樣或子區域讀取,擷取速度可提升至每秒數百張。

建議使用蔡司 Axiocam 705 彩色相機

  • 高解析度顯微鏡
  • 高幀率成像
  • 研究
  • 文件
  • 工業應用
  • 材料研究
  • 品質管制
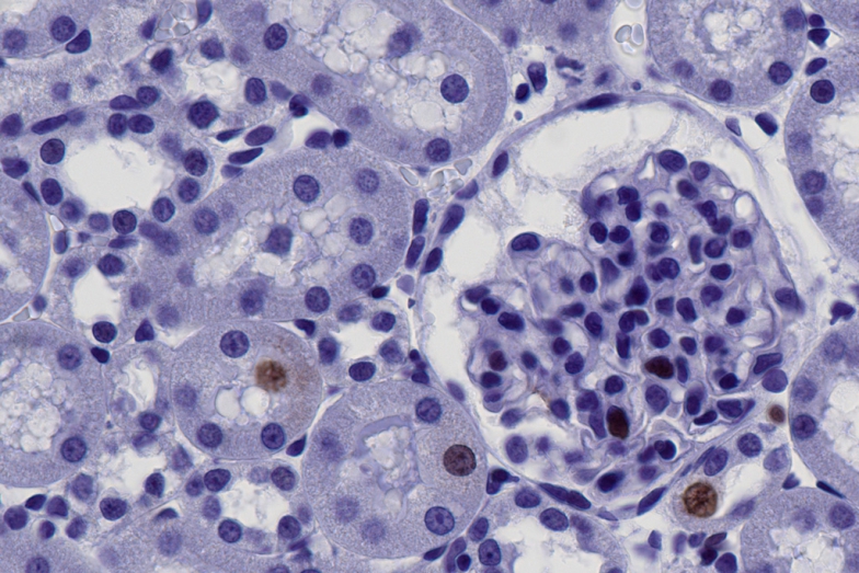
  • 醫學顯微鏡
  • 病理
  • 細胞學

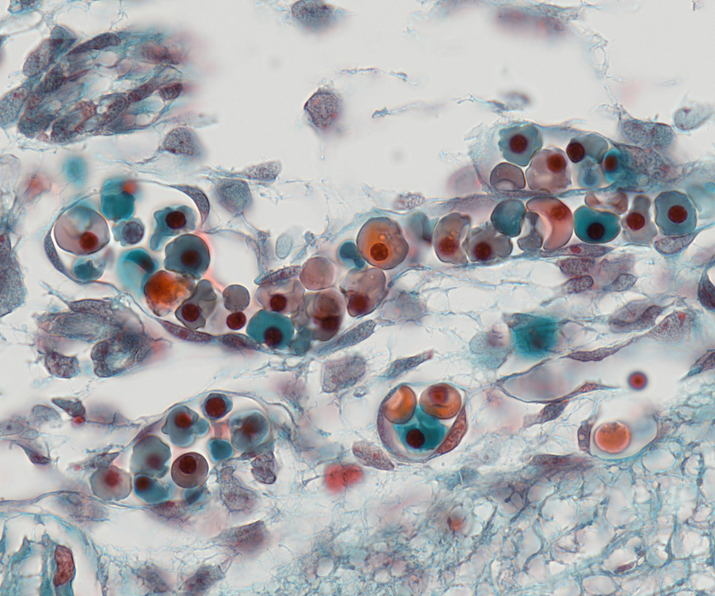
圖註:大鼠胚胎組織切片,物鏡:Plan-APOCHROMAT 63×/1.4 油鏡

Axiocam 705 彩色攝影機的亮點

  • 500萬像素冷卻式彩色CMOS感測器,對角線尺寸為11毫米
  • 每秒 62 張,全解析度 500 萬像素
  • 一流的色彩還原度
  • 彩色和單色成像模式
  • 獨特的低光成像雜訊抑制技術
  • 高動態範圍 (HDR) 模式下的動態範圍為 1:25,000
  • 類比和數位像素合併
  • 採用 3.45 μm 小像素,實現高解析度成像
  • 硬體觸發

相對光譜靈敏度

應用範例
檔案下載

 

蔡司Axiocam 705 彩色→
您的快速500萬像素顯微鏡相機可獲得高解析度的真彩色影像。

蔡司Axiocam 系列→
蔡司顯微鏡相機技術指南