background

產品總覽

ZEISS Axiocam 212 color 蔡司基礎型彩色顯微鏡相機

您的智慧型1200萬像素顯微鏡相機,用於智慧數位文件記錄
ZEISS Axiocam 212 color 蔡司基礎型彩色顯微鏡相機

蔡司 Axiocam 212 彩色顯微鏡相機是一款智慧型 1,200 萬像素彩色顯微鏡相機,適用於教學、文件記錄和日常應用。這款 CMOS 相機能夠以高達 30 fps 的幀率,提供清晰、細節豐富的即時影像,並具有高色彩保真度,解析度高達 4K。

  • 靈活使用:可選擇不同的操作模式
  • 快速即時影像:高達 30 fps 的出色 4K 全解析度
  • 支援智慧顯微鏡:攝影機會自動為您調整參數

 

選擇操作模式

  • 獨立模式:無需電腦即可取得顯微影像。相機可自動調整亮度和白平衡,並提供銳利化、降噪和HDR等即時影像增強功能。
  • 此外,您還可以透過 USB、乙太網路或 Wi-Fi 無線轉接器將 CMOS 相機連接到電腦和 Labscope 或 ZEN 成像軟體。由於您可以將多台相機連接到網絡,因此 Axiocam 212 彩色相機也是數位教室和連網實驗室的理想解決方案。

建議使用蔡司 Axiocam 212 彩色相機

  • 文件
  • 教育/教學
  • 日常任務
  • 材料研究
  • 品質保證/品質控制
  • 用於協同觀測的快速高解析度即時影像

圖註:小鼠胚胎視網膜明場影像。阿藏染色。

智慧數位文件

如果將 Axiocam 212 color 與蔡司 Axiolab 5、Axioscope 5 或 Axioscope 7 顯微鏡支架結合使用,您可以體驗智慧顯微鏡的完整概念。相機與顯微鏡通訊並始終提取正確的縮放資訊。

您將受益於:

  • 自動調整,實現高色彩和對比度再現性。
  • 一個集成系統,可以為您節省空間和金錢,因為不需要額外的計算機。
  • 影像資料完整性,因為所有中繼資料 (包括縮放比例) 都會自動與您的影像一起儲存。

…只需按一下 Snap 按鈕即可。

相對光譜靈敏度

蔡司 Axiocam 212 彩色
  • 全 4K 分辨率,高達 30 fps
  • 即時影像增強功能,如銳利化、去噪和 HDR
  • 在獨立模式下使用,查看所有圖像並將其保存在 USB 閃存驅動器上,或使用成像軟件 Labscope 或 ZEN
  • 簡單輕鬆的數位文件 – 特別適合生命科學領域的教育、數位教室和日常文件
  • 透過 USB、乙太網路、Wi-Fi 和 HDMI 連接
  • 相容 Wi-Fi – 使用 Labscope 成像軟體無線控制您的相機
  • 獨立操作,透過滑鼠和鍵盤透過直覺式螢幕顯示 (OSD) 進行攝影機控制,無需 PC

Axiocam 212 彩色相機(含紅外線濾光片)的光譜靈敏度

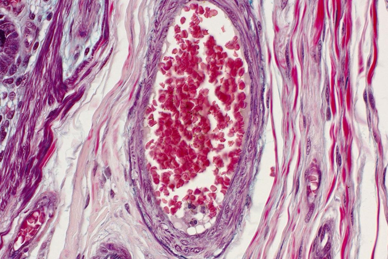
應用範例
檔案下載

 

蔡司Axiocam 212彩色→
您聰明的1200萬像素顯微鏡相機,用於智慧數位記錄

蔡司Axiocam 系列→
蔡司顯微鏡相機技術指南