background

產品總覽

ZEISS Axiocam 105 Color 蔡司基礎型彩色顯微鏡相機

您的 500萬像素顯微鏡相機,用於在常規實驗室中進行記錄
ZEISS Axiocam 105 Color 蔡司基礎型彩色顯微鏡相機

這款相機設計緊湊,可快速有效地滿足您的日常文件記錄需求。借助 USB 3.0 連接埠,您可以體驗高速資料傳輸,輕鬆處理 500 萬像素高解析度彩色影像。相機曝光時間範圍為 30 微秒至 1 秒,即時幀速率高達每秒 33 幀,讓您輕鬆應付多項任務。快速且方便地記錄您的成果。

憑藉其極具吸引力的性價比,您還可以透過彩色成像擴展螢光成像系統的功能。 Axiocam 105 彩色相機是傳統上配備單色相機的螢光顯微鏡的理想輔助相機。

這款相機的小巧外型也使其非常適合空間有限的環境。

建議使用蔡司 Axiocam 105 彩色相機

  • 具有明亮樣品的應用
  • 文件
  • 教育/教學
  • 日常任務
  • 材料測試
  • 品質保證/品質控制

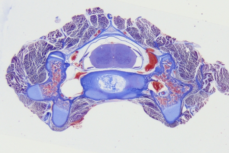
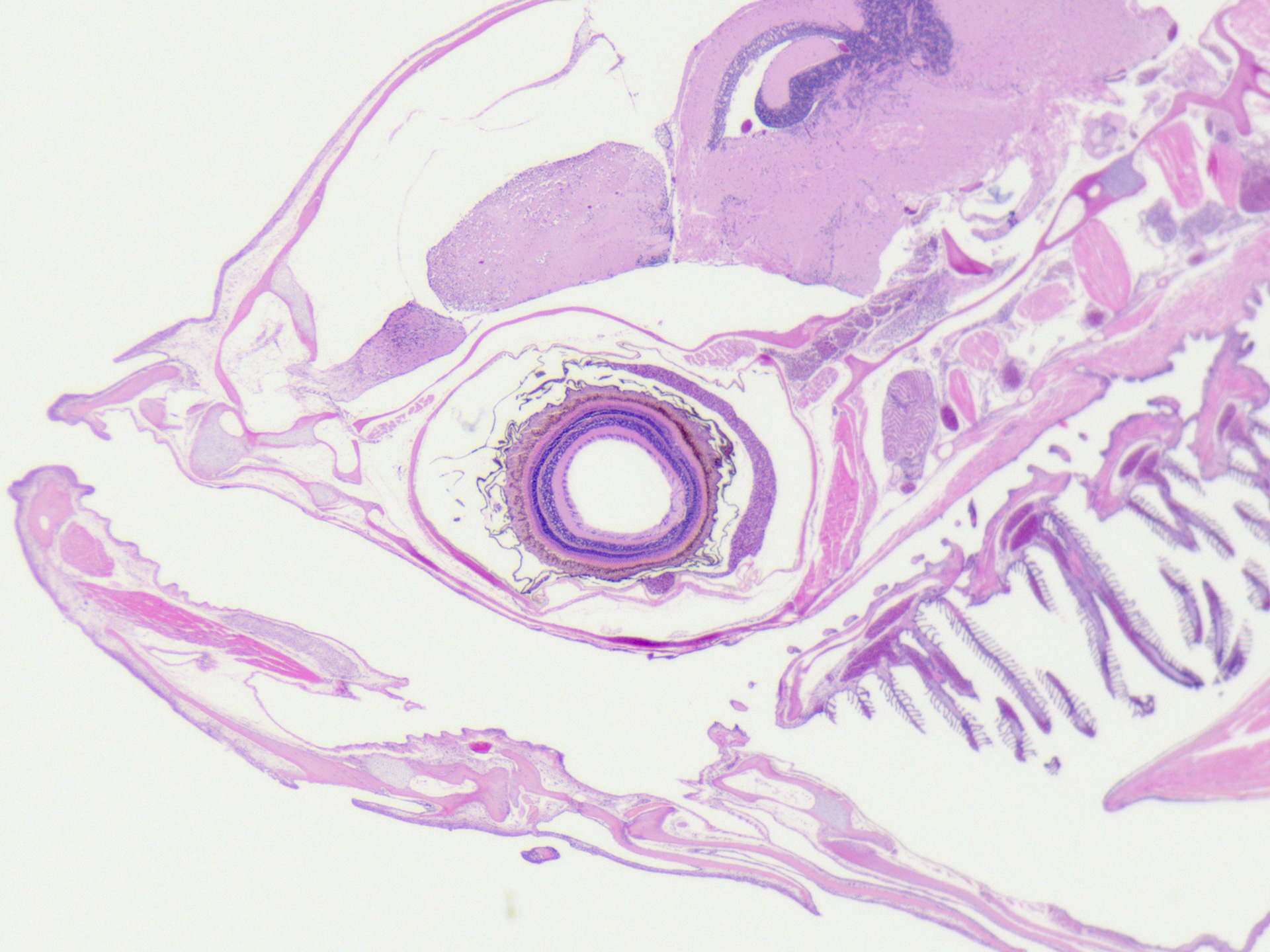
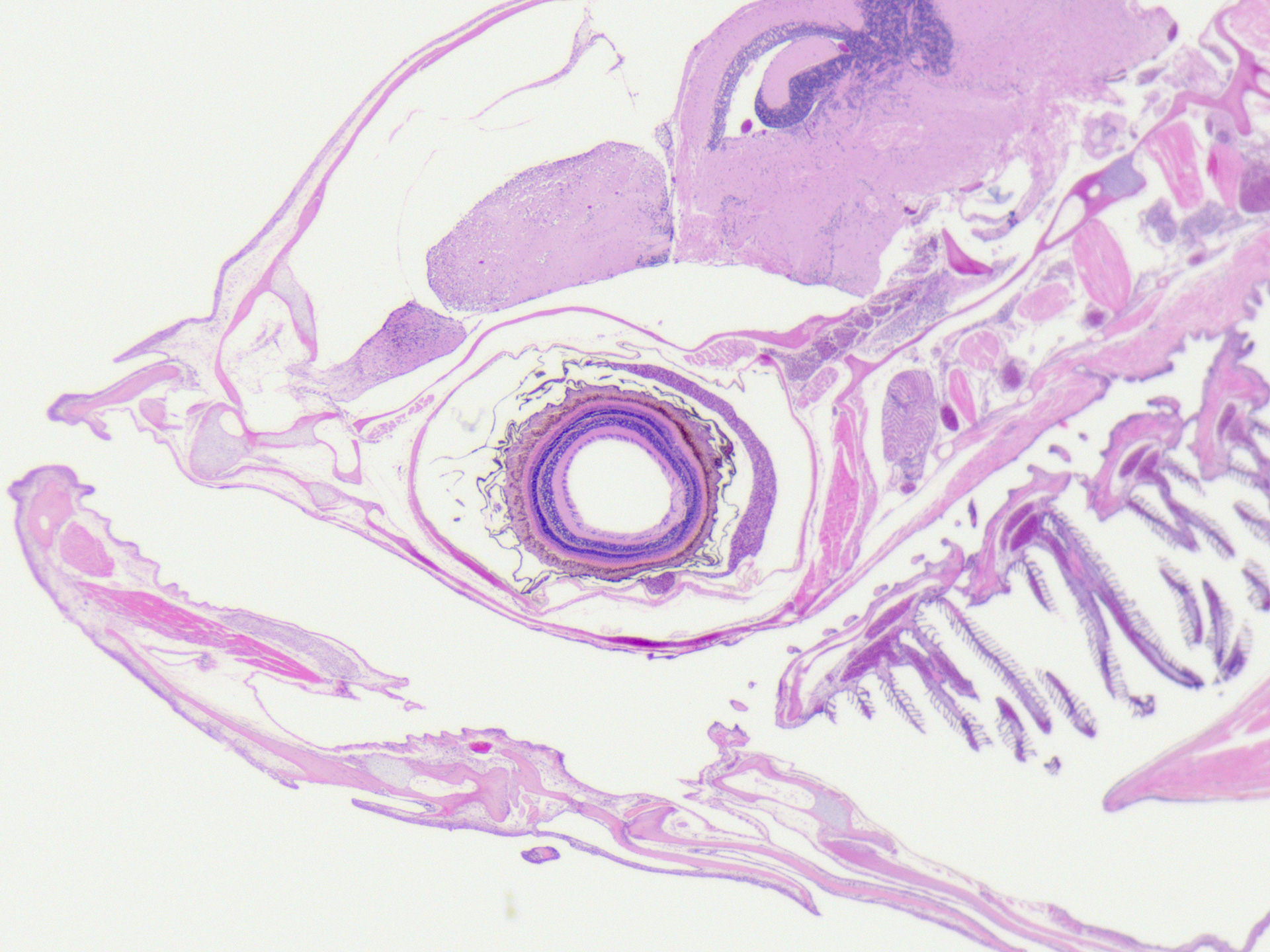
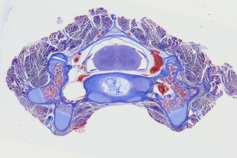
圖:魚,HE染色,明場,使用蔡司Stemi 355相機拍攝。

Axiocam 105 彩色攝影機的亮點

  • 500萬像素CMOS感測器
  • 每秒拍攝 15 張影像,全解析度為 500 萬像素
  • 8位數位化
  • 高解析度,像素尺寸為 2.2 微米
  • 易於使用的超高速 USB 3.0 連接
  • 彩色和黑白成像模式
  • 使用ZEN成像軟體進行快速且有效率的操作

相對光譜靈敏度

應用範例
檔案下載

用於品質保證和品質控制的顯微鏡和測量系統→
捕捉元件的要點。快。只是。全面

蔡司Axiocam 系列→
蔡司顯微鏡相機技術指南